With this phantom, which represents the torso of a 2-year-old patient, trainees are able to acquire basic paediatric abdominal ultrasound skills, as well as FAST/acute sonography techniques.
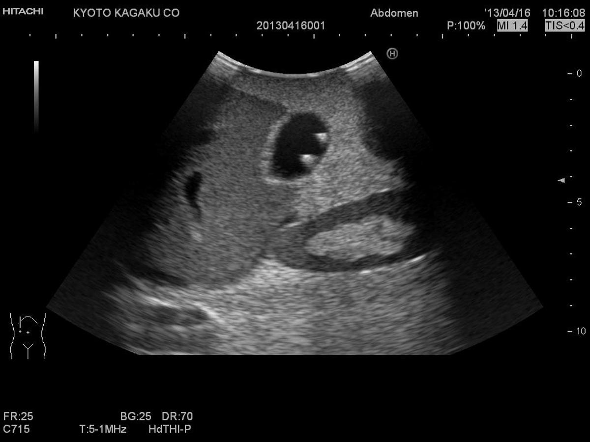
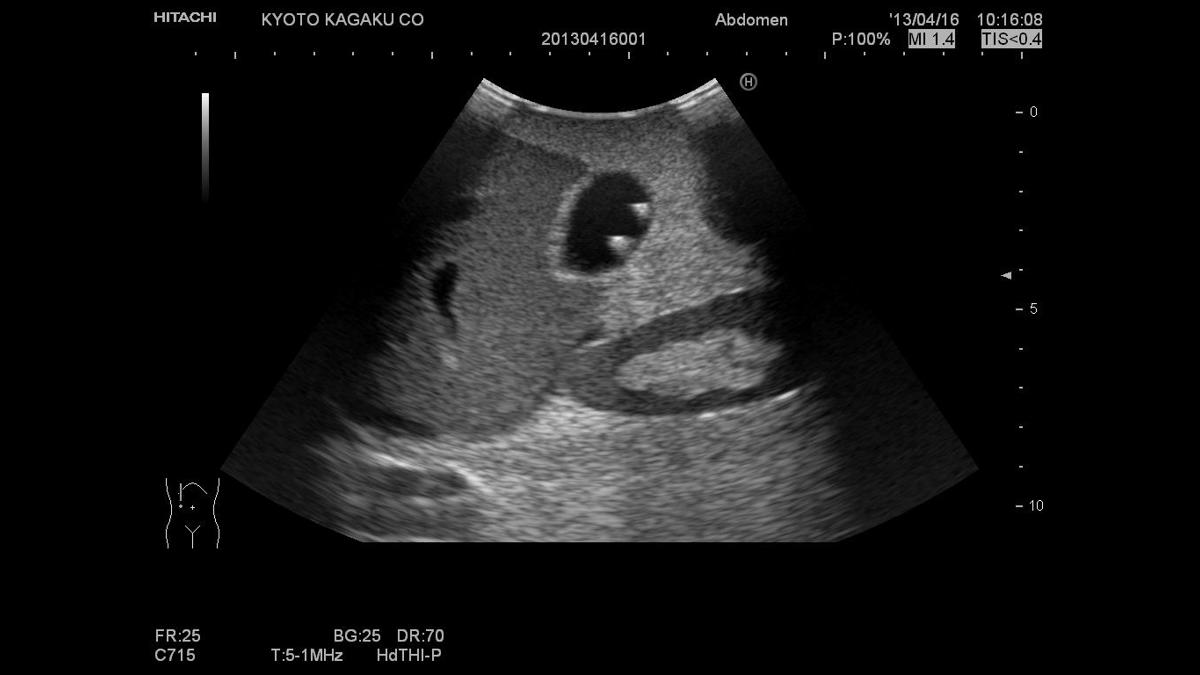
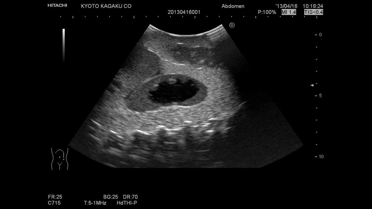
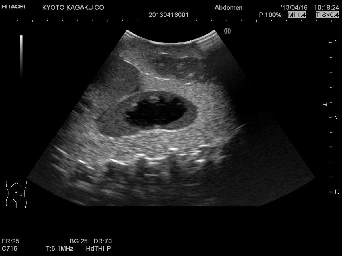
The Paediatric FAST/Acute Abdomen Phantom facilitates the practice of hands-on training using ultrasound to examine young patients. Using FAST procedures, trainees are able to identify internal haemorrhage at the perihepatic, perisplenic, pelvis, and pericardium area, whilst the ultrasound capabilities of the module allow for bowel intussusception, appendicitis and biliary dilatation recognition.
Overview
Ability to learn FAST procedures and identify pathologies that are commonly seen in paediatric patients
Realism
Represents the torso of a 2-year-old patient
Life-size thoracoabdominal organs and bone structure
Safety
Latex free
Anatomy
Thoracoabdominal organs
Bone structure
Free-fluid
Skills Gained
Using FAST procedures to identify Internal hemorrhage at the perihepatic, perisplenic, pelvis, and pericardium area
Sonography for acute paediatric patient, helping to identify bowel intussusception, appendicitis and biliary dilatation
References
Clinical Radiology Specialty Training Curriculum, The Royal College of Radiologists, 2019.
Ultrasound guided.